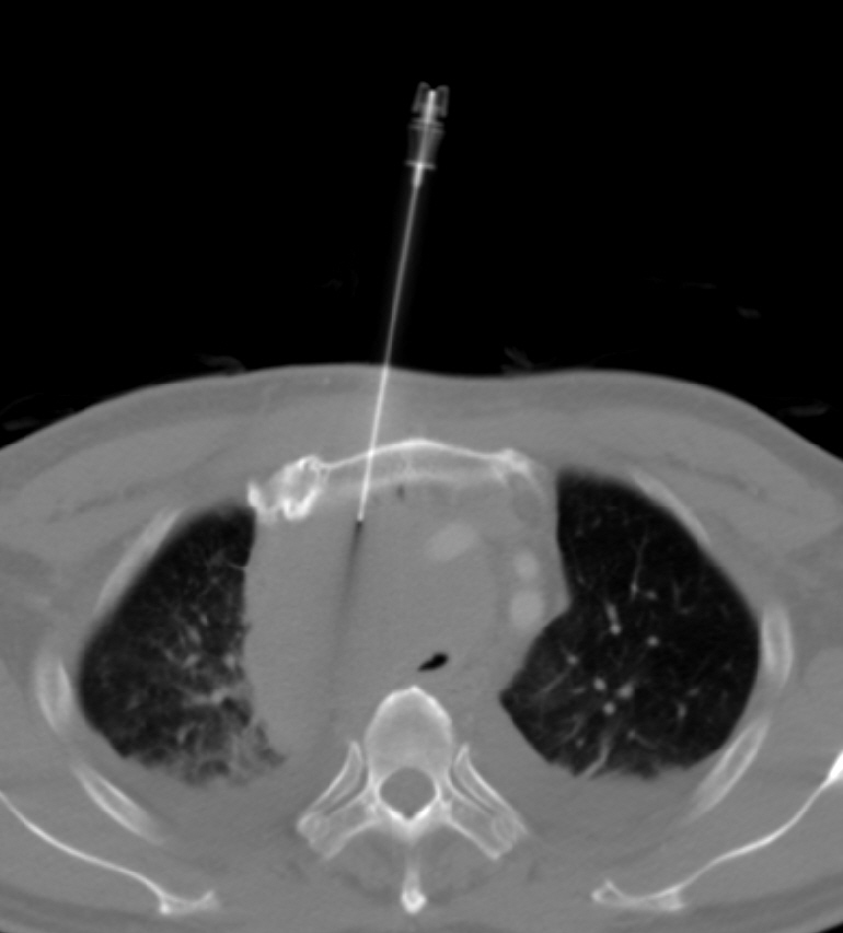
如何穿過胸骨,取得縱膈腔腫瘤?圖多,附影片。 (CT-guided biopsy: trans-sternal approach for mediastinal tumor)

10_case5

永久鏈結加入書籤。

發佈留言

發佈留言必須填寫的電子郵件地址不會公開。 必填欄位標示為 *